96岁,还要不要治肿瘤?很多家庭在面对高龄患者确诊肿瘤时,第一反应往往不是“怎么治”,而是:还能不能治?值不值得治?这么大年纪了,是不是只能算了?对于这位96岁的老爷爷来说,问题同样摆在眼前。 2025年,96岁的老爷爷逐渐出现大便变细、便秘、大便中带少许鲜血。起初老爷爷和家人都认为可能是年龄大了,偶尔出现大便不正常,以及痔疮出血,但随着症状逐渐加重,家人才有一丝不详的感觉。于2025年8月下旬,带着老爷爷去当地医院进行了检查。查血结果提示,老爷爷的肠道肿瘤标志物升高,进一步行肠镜,发现“距
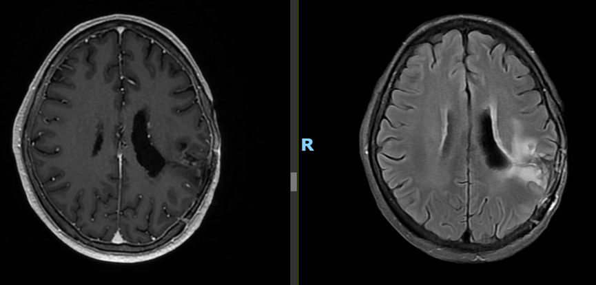
多学科联手,前沿技术护航:脑瘤患者在这里重获希望
手术后的张先生(化名),终于露出了久违的笑容。几个月前,他面对的是一个令人绝望的诊断——直径约 10 公分的巨块型肝癌,而且肿瘤像树根一样紧紧缠绕着门静脉主干,几乎没有安全的分离空间。在多数医院,这类病例往往被认为“无法安全手术”。但在和祐医院肝普外科胆外科团队手中,这颗“体内炸弹”被成功拆除。
三年前,L女士的人生按下了暂停键。那时,她被诊断出腹腔多发性良性肿块。某一线城市最好的三甲医院病理诊断显示是良性肿瘤,在医生建议下,L女士接受了手术切除。但术后病情没有向她期望的方向好转,相反肿瘤进展迅速,医院虽然给予了L女士挽救性放射治疗,但同样治疗效果甚微。经一位银行的朋友介绍,L女士几经辗转来到了和祐医院肿瘤医学中心找到国际肿瘤专家陆嘉德副院长看诊。在复评后,陆嘉德教授意识到情况并不简单,肿瘤的生物分子行为呈现明显的恶性特征,初步断定是恶性肿瘤。陆院长建议立即与美国纪念斯隆-凯特琳癌症
年龄与身体状况,绝非抗击癌症的阻碍!在我院,多学科协作正为高龄、无法耐受手术的肺癌患者点燃新希望。近期,两位80多岁的肺癌患者(爷爷/奶奶),通过SBRT(立体定向体部放疗)联合 4DCT(四维CT)的无创治疗,首次复查传来喜讯 —— 肺部病灶控制良好!