400-0662-333(24小时急诊 0757-28680120)
医生专区加入我们
语言简体中文繁體中文English
您所在位置:首页 人文和祐 患者感谢
您所在位置:首页 人文和祐 患者感谢
患者感谢

香港排队半年,和祐“平靓正”——香港白领跨境求医3天治好了这病

发布时间:2025-03-17

在繁忙的工作+学业手机+电脑的双重攻击下,现代人颈椎所受的“压迫”日渐加重。从前,颈椎病患者大多是老年人,或医生和老师的职业病——但现在不是了......

35岁的香港上班族连女士(化名)从未想过,一场看似“脆皮”打工人的通病——颈椎痛,居然会困扰她的正常生活一年之久。

一年前,连女士的右上肢开始出现刺痛和麻木,连握手机都变得吃力。起初她并未在意,以为只是疲劳所致,然而症状逐渐升级——头晕、胸闷、甚至一次突然的晕倒,让她不得不正视这“隐形杀手”。

在香港多家医院辗转求医,连女士被确诊为神经根型颈椎病,需要手术治疗。当她打算积极面对时,冰冷的现实打住了她的脚步:手术需排期半年,费用高达30万港元。

无助之时,朋友的一句“试试到顺德和祐医院”让她重燃希望。在和祐医院骨一科,刘明主任及团队为其进行了详细的检查并收治入院。




“镜”显神通,三天顺利手术




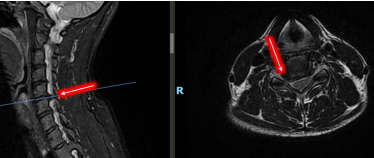
MRI影像学检查显示,连女士颈5/6椎间盘向右侧椎间孔区突出,右侧神经根受压,诊断为神经根型颈椎病和颈椎间盘突出。

经过充分的术前评估,骨一科团队明确了手术适应症,并排除了手术禁忌症,决定为她实施显微镜下ACDF(前路颈椎间盘切除 + 椎体间植骨融合术)手术。

🔍 显微镜下精细颈椎减压:和祐医院骨一科团队采用蔡司900显微镜,为连女士实施了颈椎前路减压融合术。显微镜如同为医生戴上“透视眼”,神经、血管、骨骼毫厘毕现,颈椎术野最大限度可视。

🔪 微创切口仅2厘米:通过钥匙孔般的入口精准解除神经根压迫,最大程度减少对周围组织的损伤。

术后次日,连女士感觉已无明显刺痛感;三天后出院返时,她感叹道:“没想到三天就能完成手术,费用也比香港低很多,真是解决了我们的大难题!”

此外,医护团队还为连女士定制锻炼计划,定期通过线上随访跟踪恢复进度。“医生一直线上‘叮嘱’康复打卡,这里没有冰冷的流程,只有暖心的守护。”连女士的家属坦言。




了解颈椎ACDF手术



为连女士开展的手术有一个很“前卫”的名称叫颈椎ACDF手术,即前路颈椎间盘切除 + 椎体间植骨融合术,它是颈椎病的经典微创术式。手术通过颈前微创小切口,摘除椎间盘、骨刺、钙化的后纵韧带解除脊髓神经根压迫,植骨融合固定椎体达到治疗疼痛恢复颈椎序列稳定颈椎的目的,是严重颈椎退行性疾病、颈椎外伤、颈椎间盘突出、椎管狭窄、颈椎结核等疾病压迫脊髓、神经根的有效治疗手段。

颈椎前路手术(ACDF)仍是目前治疗颈椎病的金标准,拥有手术切口小、出血少、对周围组织损伤小,手术瘢痕小等天然优势。结合显微镜的辅助,医生能够通过同轴、充足的照明和清晰视野,使得原本在传统手术中模糊不清的组织、血管与神经都变得纤毫毕现,每一个细节都清晰可辨,操作精度实现了从“毫米级”到“微米级”的跨越。

本文作者>>>骨一科 | 仇显帅

本文指导>>>骨一科 | 刘明(主任医师)

(因患者个体存在差异,治疗效果也因人而异,具体请咨询专业医生。)

400-0662-333(24小时急诊 0757-28680120)
广东省佛山市顺德区北滘镇和仁路1号
CallCenter@hyhospital.com