心梗,无声的杀手,正悄然逼近年轻一代。近年来,心源性猝死的新闻频上热搜,急性心肌梗死以其致命性成为其中最令人畏惧的杀手。在我国,每年约有100万患者面临这一生死考验,每18至20秒,就有一个生命因心梗而终结。
方先生的紧急情况,正是这一严峻现实的真实写照。在一次剧烈胸痛后,他被紧急送往医院,血压监测时意识突然丧失,情况危急。急诊医生迅速启动心肺复苏,心电图诊断为急性广泛前壁心肌梗死。心内科团队立即开通绿色通道,实施急诊冠脉介入手术,争分夺秒在11分钟内完成堵塞血管的开通,并在30分钟内完成手术。在这场生死竞速中,我们不仅见识了心梗的凶险与无情,更凸显了送医及时和医生高效抢救的至关重要性。

胸痛难耐
34岁小伙在急诊室门口突发心梗
方先生今年34岁,家住广州,周末到佛山北滘走访亲戚,早上十点整,突感胸痛不适,心前区压榨性疼痛,伴呼吸困难、大汗。起初他并不在意,以为只是工作繁重,熬夜过多,缓一缓就没事了,但胸痛症状非但没有缓解,反而逐步加重,在家人的陪同下,12:21到达和祐医院急诊科。
仅一分钟后,12时22分,在测量血压时,方先生突然意识丧失,口唇发绀、肢体僵硬、小便失禁,情况万分紧急。急诊科医护人员立即启动心肺复苏,争分夺秒与死神赛跑。然而,在复苏过程中,他多次出现心室颤动,医生反复进行了五次电除颤,终于恢复正常心跳。12时34分,心电图检查结果提示——急性广泛前壁心肌梗死,如不及时处理,随时可能死亡。此时最佳的治疗方案是行急诊冠脉介入手术,开通堵塞的血管。
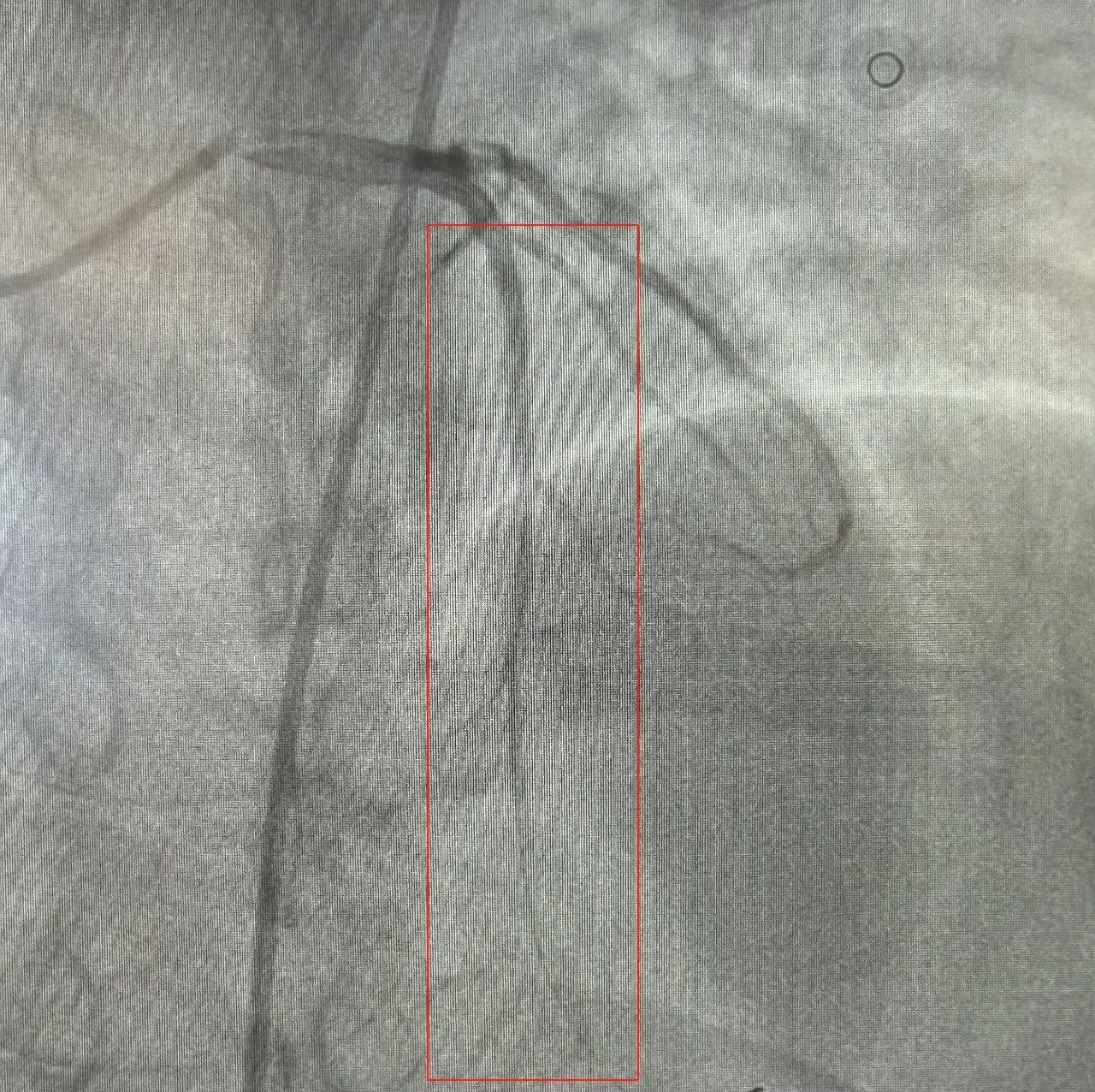
心脏主血管闭塞
医生30分钟紧急手术成功
“快、快、快……立即启动激活导管室,开通胸痛绿色通道!”心内科主任曹世平教授接到紧急会诊电话后,迅速到达急诊科查看方先生情况,并通知导管室做好手术准备。胸痛中心团队迅速开通绿色通道,准备为方先生实施急诊冠脉介入手术。随着一阵急促的滑轮声,13时08分,急诊的医护人员将方先生送入导管室。
13时27分,顺利完成冠状动脉造影,造影结果显示前降支近段完全闭塞,并可见血栓影。曹主任操控导丝迅速通过闭塞处,用抽吸导管抽吸出几块白色血栓,复查造影见前降支恢复了血流,但前降支近段仍有80%的狭窄。曹主任在狭窄处,植入了一枚支架,成功恢复血管的通畅,实现了血运重建。手术在13时38分顺利完成,及时阻止了心梗进一步恶化,方先生的胸痛症状因此得到了明显缓解。
闭塞血管开通,恢复正常血流
手术虽然顺利,但方先生并未完全脱离危险,术后他被转入ICU进行监护,第二天转回心内科继续治疗。方先生住院期间,恰逢其生日,医护团队也贴心地送上蛋糕和鲜花,庆祝这一次特别的“新生”。
“若方先生再迟来几分钟,后果将不堪设想。在这场急性心梗患者抢救中,非常考验急诊团队、导管室团队、心内科团队、ICU团队以及其他辅助科室医护配合默契,才有可能在生死时速中争取到一个好的结果。”曹主任说道。
医护人员为方先生庆祝这一特别“新生”
因为侧支循环
年轻人突发心梗危险程度比老年人高
急性心肌梗死是冠状动脉突然闭塞导致血液供应中断,进而引起心肌组织的持久性缺血和坏死。由于心肌坏死是不可逆的,即使及时救治,也可能造成心功能受损和潜在的长期后遗症。相较于老年人,年轻人突发心梗的危险程度往往更高,因为年轻人的侧支循环通常不如老年人发达。侧枝循环是指在主血管受阻时,血液通过较小的血管绕行,以维持远端组织的血液供应。由于老年人可能因长期慢性血管疾病而逐渐形成了较为丰富的侧支循环,这为他们在心肌梗死发生时提供了一定程度的保护。相比之下,年轻人可能因为缺乏足够的侧支循环,一旦发生心梗,心肌缺血的区域得不到有效的血液供应,导致心肌损伤更为严重,增加了治疗的紧迫性和复杂性。
34岁,本应是年轻力壮、充满活力的年纪,怎么会突发心梗了呢?医生详细了解得知,方先生3年前被确诊为糖尿病,但由于身体没有出现明显的不适,他便心存侥幸心理,置之不理。此外,他还患有高脂血症和高血压,这些慢性疾病本身就是心脑血管健康的潜在威胁。加之他不规律的生活作息和饮食习惯,以及频繁的熬夜,这些不良生活方式进一步加剧了他的健康风险。因此,方先生心梗的发生,虽突然却并非偶然,是其长期不良健康状况积累的结果。此外,心梗的发生与吸烟、酗酒、精神压力大、缺乏运动等有紧密关联。
不是所有心梗发生都有前兆
这类人群应考虑冠脉CTA检查
如何迅速识别急性心梗?关键在于留意身体发出的早期“警报”。在心梗发作前的数日,可能会出现心绞痛,症状可轻可重,持续时间几分钟至十几分钟不等,往往被忽视。心梗发作时,常有剧烈的胸痛,如果持续超过20分钟不缓解,这可能已经发生了心梗。当然有些冠心病患者发生心肌梗死前没有任何症状,这是因为冠状动脉可能堵塞并不严重,但不稳定的斑块破裂,会像滚雪球一样迅速形成血栓,完全堵塞血管。
因此,有高血压、糖尿病、高血脂、吸烟、生活不规律、精神压力大、冠心病家族史等高危人群,即使没有任何症状,都建议行冠心病筛查——冠脉CTA检查,掌握自己心脏血管的情况,适当干预,延缓动脉硬化的进展,减少心血管事件的发生。如果发生严重且持续的胸闷、胸痛,必须予以高度重视。请记住,时间至关重要,不要犹豫,应立即前往最近医院的胸痛中心寻求帮助,迅速的医疗干预是挽救生命和避免严重后果的关键。


