400-0662-333(24小时急诊 0757-28680120)
医生专区加入我们
语言简体中文繁體中文English
您所在位置:首页 和祐动态 和祐新闻 业务动态
您所在位置:首页 和祐动态 和祐新闻 业务动态
和祐新闻

5条血管夹缝中的毫米级操作!和祐医院成功完成高难度嗜铬细胞瘤切除术

发布时间:2025-05-12

突发头痛、血压飙升、命悬一线——54岁的张女士体内暗藏一颗“不定时炸弹”。影像检查显示,左肾门区4厘米的嗜铬细胞瘤紧密包裹重要血管,随时可能引发致命危险。面对这一医学难题,和祐医院多学科团队迎难而上,在血管密布的“危险地带”展开生命保卫战。从精准的术前准备到惊心动魄的3小时手术,再到细致的术后康复,这场高难度救治如何成功“拆弹”?让我们一探究竟。

4厘米“炸弹”突然引爆,血压飙至220危在旦夕!

54岁的张女士(化名)在一次劳作后突然出现剧烈头痛、心悸胸闷、恶心呕吐等症状,紧急送医后血压一度飙升至211/83 mmHg,经当地医院降压治疗仍反复波动,甚至出现休克。超声检查发现其左肾门存在3.8×4.1cm的占位性病变。由于病情复杂危重,在当地医院建议下,患者于凌晨1点通过绿色通道转入和祐医院急诊科。

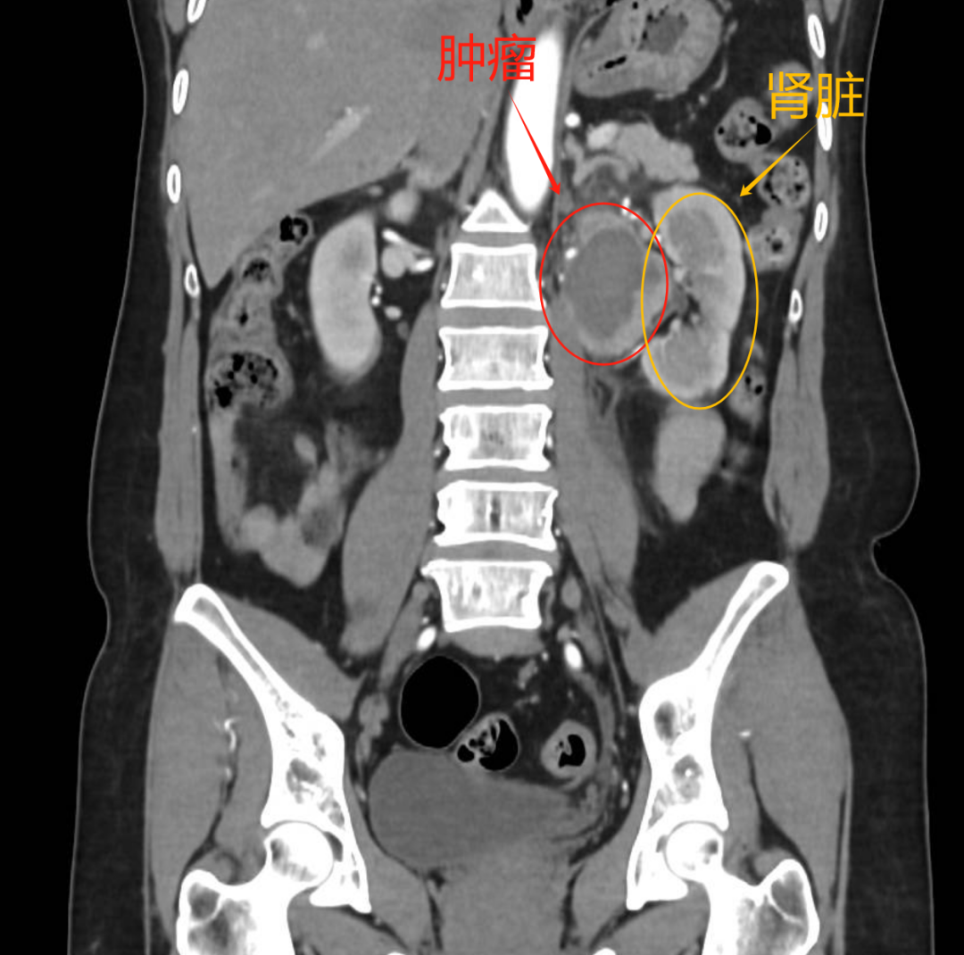
肿瘤位置

“患者到达时呈休克状态,血压极不稳定,随时可能发生心脑血管意外。”接诊医生描述道。急诊团队立即启动危重症救治流程,在稳定生命体征的同时,通过增强CT确诊为其患有“腹膜后嗜铬细胞瘤”。由于肿瘤分泌大量血管活性物质,患者被紧急转入泌尿外科进一步救治。

肿瘤位置


泌尿外科谢克基主任团队评估发现:这个4cm的肿瘤位于解剖复杂的左肾门区,影像显示其被多根大血管包绕。“就像在输油管道旁拆除炸弹,”谢主任解释,“术前CT显示肿瘤与血管鞘界限不清,这类患者未经规范术前准备的手术死亡率可达20%-45%,甚至更高。”进一步的检查证实,持续的高血压已经对张女士的心脏造成了损伤,这更增加了手术风险。面对这一复杂病例,医院立即启动了多学科会诊机制。


多学科协作,术前两周精细筹备


在谢克基教授牵头下,内分泌科、心血管内科、重症医学科、麻醉科、肿瘤科等专家迅速组成治疗团队,经过充分讨论,制定了全面的治疗方案:


•调控血压与心率:通过药物稳定儿茶酚胺分泌,减少手术刺激引发的血压波动;

•心脏功能评估与保护:针对心肌损伤制定专项预案;

•手术方案优化:规划肿瘤切除路径,最大限度保留左肾功能。

多学科团队专家对患者病情进行讨论

3小时生死博弈,在血管迷宫中精准“拆弹”

经过充分准备,手术如期进行。术中发现实际情况比预想的更为复杂:肿瘤大小6cm×4cm×4cm,位于左肾门区,紧贴左肾静脉主干、左生殖血管和左肾上腺静脉,并与胰腺、肾上腺高度粘连

肿瘤位置


“手术就像在血管丛林中拆弹,稍有不慎就可能引发大出血。”谢主任描述道。在麻醉团队的精准配合下,手术团队小心翼翼地分离肿瘤与周围组织的粘连,避开重要血管。经过3小时的精细操作,肿瘤被完整切除,左肾得以完好保留,又没损伤胰腺、肾上腺等周围器官,出血量控制在了安全范围内。

谢克基主任团队手术中


全程守护,从ICU到康复出院

术后,张女士在ICU接受72小时密切监护,通过有创血压监测和呼吸机支持治疗,未出现感染、出血等并发症。转入普通病房后,经肿瘤中心多学科会诊评估手术切除彻底,无需后续辅助治疗。期间临床营养科实施阶梯式营养支持,康复科指导呼吸功能训练,在系统化康复管理下,患者顺利康复出院。

患者在ICU接受监护治疗

这个病例的成功救治充分展现了现代医学对抗疑难重症的实力。面对发病率仅百万分之二的嗜铬细胞瘤这一“隐形杀手”,泌尿外科团队凭借精湛的手术技术,在血管密布的危险区域精准操作,既彻底切除了肿瘤,又完好保留了肾脏功能。而多学科团队的紧密协作,从术前精准评估到术中风险管控,再到术后康复管理,形成了完整的救治链条。这个案例证明,以专科技术为支撑、多学科协作为保障的诊疗模式,能够为罕见疑难疾病患者带来生的希望。


本文作者>>> 泌尿外科 | 曾宇尘
本文指导>>> 泌尿外科 | 谢克基(主任医师)
(因患者个体存在差异,治疗效果也因人而异,具体请咨询专业医生。)


扫描下方二维码

开启科学与温度并存的抗癌之旅!


图片


400-0662-333(24小时急诊 0757-28680120)
广东省佛山市顺德区北滘镇和仁路1号
CallCenter@hyhospital.com